Children with poor reading skills who underwent an intensive, six-month training program to improve their reading ability showed increased connectivity in a particular brain region, in addition to making significant gains in reading, according to a study funded in part by the National Institute of Mental Health (NIMH). The study was published in the Dec. 10, 2009, issue of Neuron.
“We have known that behavioral training can enhance brain function.” said NIMH Director Thomas R. Insel, M.D. “The exciting breakthrough here is detecting changes in brain connectivity with behavioral treatment. This finding with reading deficits suggests an exciting new approach to be tested in the treatment of mental disorders, which increasingly appear to be due to problems in specific brain circuits.”
For the study, Timothy Keller, Ph.D., and Marcel Just, Ph.D., both of Carnegie Mellon University, randomly assigned 35 poor readers ages 8-12, to an intensive, remedial reading program, and 12 to a control group that received normal classroom instruction. For comparison, the researchers also included 25 children of similar age who were rated as average or above-average readers by their teachers. The average readers also received only normal classroom instruction.
Four remedial reading programs were offered, but few differences in reading improvements were seen among them. As such, results for participants in these programs were evaluated as a group. All of the programs were given over a six month schooling period, for five days a week in 50-minute sessions (100 hours total), with three students per teacher. The focus of these programs was improving readers’ ability to decode unfamiliar words.
Using a technology called diffusion tensor imaging (DTI), the researchers were able to measure structural properties of the children’s white matter, the insulation-clad fibers that provide efficient communication in the central nervous system. Specifically, DTI shows the movement of water molecules through white matter, reflecting the quality of white matter connections. The better the connection, the more the water molecules move in the same direction, providing a higher “bandwidth” for information transfer between brain regions.

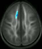
The area of lower quality white matter (blue area) among poor readers relative to good readers at the beginning of the study. Source: Timothy Keller, Ph.D.; Marcel Just, Ph.D.
At the outset of the study, poor readers showed lower quality white matter than average readers in a brain region called the anterior left centrum semiovale. Six months later, at the completion of the intensive training, the poor readers showed significant increases in the quality of this region. Children who did not receive the training did not show this increase, suggesting that the changes seen in the remedial training group were not due to natural maturation of the brain.

The area where the white matter quality increased (red/yellow area) among poor readers who received the remedial reading instruction. Source: Timothy Keller, Ph.D.; Marcel Just, Ph.D.
In an effort to further pinpoint the mechanism underlying this change, the researchers deduced that a process called myelination may be key. Myelin is akin to electrical insulation, allowing for more rapid and efficient communication between nerve cells in the brain. However, the directional association between brain changes and reading improvements remains unclear – whether intensive training brings about increased myelination that results in improved word decoding skills, or whether improved word decoding skills leads to changes in reading habits that result in greater myelination.

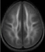
Following the instruction, there were no differences between the poor and average readers with respect to the quality of their white matter. Source: Timothy Keller, Ph.D.; Marcel Just, Ph.D.
“Our findings support not only the positive effects of remediation and rehabilitation for reading disabilities, but may also lead to improved treatments for a range of developmental conditions related to brain connectivity, such as autism,” noted Just.
Material adapted from NIMH by CFisher
Reference
Keller, TA & Just, MA (2009). Altering cortical connectivity: Remediation-induced changes in the white matter of poor readers. Neuron.
No comments yet.