A new study from Karolinska Institutet in Sweden shows that the brain has built-in mechanisms that trigger an automatic reaction to someone who refuses to share. The reaction derives from the amygdala, an older part of the brain. The subjects’ sense of justice was challenged in a two-player money-based fairness game, while their brain activity was registered by an magnetic resonance imaging (MRI) scanner. When bidders made unfair suggestions as to how to share the money, they were often punished by their partners even if it cost them. A drug that inhibits amygdala activity subdued this reaction to unfairness. The original study is available in the open access journal, PLoS Biology; check the end of this report for a download link.
The study is a collaboration between Karolinska Institutet and the Stockholm School of Economics. It is based on the universal human behaviour to react aggressively when another person contravenes the norm of acting in the best interests of the group by behaving unfairly. The researchers had 35 subjects play a money-based fairness game (the Ultimate Game), whereby one player suggests to another how a fixed sum of money is to be shared between them; the other player can then either accept the suggestion and take the money, or reject it, in which case neither player receives anything.
“If the sum to be shared is 100 SEK kronor and the suggestion is 50 each, everyone accepts it as it is seen as fair,” says Dr Katarina Gospic. “But if the suggestion is that you get 20 and I take 80, it’s seen as unfair. In roughly half the cases it ends up with the player receiving the smaller share rejecting the suggestion, even though it costs them 20 SEK. Doing this, they punish the player making the unfair suggestion despite losing out themselves.”

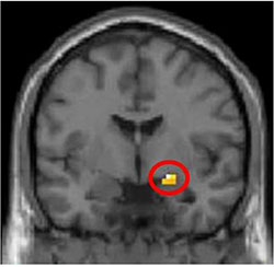
This is an MR-image of amygdala activity while playing the Ultimate Game. (Credit - The article authors (Gospic et al) and PLoS Biology.)
In the present study, the subjects were either given the anti-anxiety tranquilliser Oxazepam or a sugar pill (placebo) while playing the Ultimate Game. The researchers found that those who had received the drug showed lower amygdala activity and a stronger tendency to accept an unfair distribution of the money – this despite the fact that when asked, they still considered the suggestion unfair.
In the control group, the tendency to react aggressively and punish the player who had suggested the unfair distribution of money was directly linked to an increase in activity in the amygdala. A gender difference was also observed with men responding more aggressively to unfair suggestions than women and showing a correspondingly higher rate of amygdalic activity. This gender difference was not found in the group that received Oxazepam.
“This is an incredibly interesting result that shows that it isn’t just processes in the prefrontal cortex that determine this kind of decision about financial equitability, as was previously thought,” says Professor Martin Ingvar. “Our findings, however, can also have ethical implications since the use of certain drugs can clearly affect our everyday decision-making processes.”
Material adapted from Karolinska Institutet.
Download / Reference
‘Limbic Justice – Amygdala Involvement in Immediate Rejection in the Ultimate Game‘, Katarina Gospic, Erik Mohlin, Peter Fransson, Predrag Petrovic, Magnus Johannesson & Martin Ingvar, PLoS Biology 9(5): e1001054, online 3 may 2011, doi:10.1371/journal.pbio.1001054 (Open Access).
No comments yet.