Top Header Menu

Tag Archives | Justice

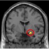
Image of the brain

Brain Imaging Shows That A Sense Of Justice Is Built Into The Brain

A new study from Karolinska Institutet in Sweden shows that the brain has built-in mechanisms that trigger an automatic reaction to someone who refuses to share. The reaction derives from the amygdala, an older part of the brain. The subjects’ sense of justice was challenged in a two-player money-based fairness game, while their brain activity […]

Continue Reading 0

Proudly hosted by Lightning Base