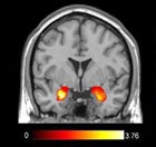
A new study reveals a simple strategy that people can use to minimize how angry and aggressive they get when they are provoked by others. When someone makes you angry, try to pretend you are viewing the scene at a distance – in other words, you are an observer rather than a participant in this […]







Recent Comments